Kabla ya kupigana mabusu, muangaliane usafi wa meno

Kabla ya kupigana mabusu, muangaliane usafi wa meno

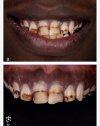
AFAIK, Ugonjwa wa meno haumbukizwi isipokuwa husababishwa na bakteria ambao wapo kinywani kwa kila mtu. Kinachotokea ni kwamba hawa bakteria huwa wana uwezo wa kubadilisha mabaki ya vyakula hasa vile vyenye asili ya wanga na sukari kwenda kwenye aina fulani ya asidi ambayo ikizidi huweza kuleta madhara kwenye meno ikiwepo kutoboa. And these bacteria wapo kwa kila mtu differs in their nature and number, ndio maana unashauriwa kupiga mswaki mara kwa mara ili kupunguza wingi wa hawa bacteria na madhara ya asidi ambayo wanakuwa wametengeneza, so what affects our teeth is not these bacteria but the acid they produce, Hakuna bakteria ambae anaeweza kutoboa jino na ugumu wake, so brother don't get confused ugonjwa wa meno hauambukizwi kwa kisses wala nini. My advice watu wapige mswaki after every meal ili kuepuka harufu mbaya mdomoni na meno kutoboka. Kubwa kuliko sasa ili kusapoti mada tupige mswaki kwa sana maana kwa sasa kisses hasa hizi ''d*nda'' haziepukiki so you better uwe msafi ili usimkere bebe wako!
Naomba kuwasilisha.
XieXie
 
AFAIK, Ugonjwa wa meno haumbukizwi isipokuwa husababishwa na bakteria ambao wapo kinywani kwa kila mtu. Kinachotokea ni kwamba hawa bakteria huwa wana uwezo wa kubadilisha mabaki ya vyakula hasa vile vyenye asili ya wanga na sukari kwenda kwenye aina fulani ya asidi ambayo ikizidi huweza kuleta madhara kwenye meno ikiwepo kutoboa. And these bacteria wapo kwa kila mtu differs in their nature and number, ndio maana unashauriwa kupiga mswaki mara kwa mara ili kupunguza wingi wa hawa bacteria na madhara ya asidi ambayo wanakuwa wametengeneza, so what affects our teeth is not these bacteria but the acid they produce, Hakuna bakteria ambae anaeweza kutoboa jino na ugumu wake, so brother don't get confused ugonjwa wa meno hauambukizwi kwa kisses wala nini. My advice watu wapige mswaki after every meal ili kuepuka harufu mbaya mdomoni na meno kutoboka. Kubwa kuliko sasa ili kusapoti mada tupige mswaki kwa sana maana kwa sasa kisses hasa hizi ''d*nda'' haziepukiki so you better uwe msafi ili usimkere bebe wako!
Naomba kuwasilisha.
XieXie
Ubarikiwe sana Mkuu,hatimaye sitoogopa tena,mi nikajua mwisho wa siku nitaishia kuoza meno
 
Binafsi nayapenda sana, umefanya nikamkumbuka ex wangu😅
 

Attachments

  • Screenshot_20240111_150424_Google.jpg
    Screenshot_20240111_150424_Google.jpg
    53.6 KB · Views: 6
Back
Top Bottom